A dermatite de contato pode ser um verdadeiro incômodo, e o pior: muitas vezes o culpado está mais perto do que você imagina, talvez até nas suas mãos. Você se incomoda com aquela coceira persistente, vermelhidão ou bolhas na pele e não sabe por quê? Fica tranquila, pois vamos desvendar como um erro diário pode estar desencadeando essa condição. Neste post, eu vou te mostrar o que causa a dermatite de contato e como você pode finalmente dar um basta nesse problema.
“A dermatite de contato é uma reação inflamatória na pele que ocorre após a exposição a uma substância específica, manifestando-se de forma irritativa ou alérgica.”
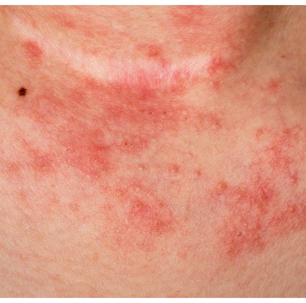
Como a dermatite de contato se manifesta e o que a pele realmente sente com isso?
Vamos combinar, ninguém quer sentir a pele ardendo ou com uma coceira que não para. A dermatite de contato é basicamente uma reação da sua pele a algo que tocou nela. Ela se divide em dois tipos principais que eu vou te explicar agora.
O primeiro é a dermatite de contato irritativa. Pense em substâncias que agridem diretamente a pele, como alguns sabonetes mais fortes ou detergentes de limpeza. Esses produtos retiram a proteção natural da pele, causando irritação.
Já a dermatite de contato alérgica é diferente. Aqui, o sistema imunológico reage exageradamente a uma substância, mesmo que ela não seja inerentemente agressiva para a maioria das pessoas. É uma resposta de alergia mesmo.

O que é Dermatite de Contato e Como Ela Funciona na Prática
A dermatite de contato é uma reação inflamatória da pele que surge após o contato com uma substância específica. Ela se manifesta em duas formas principais: irritativa e alérgica. A irritativa é causada por substâncias que danificam a pele diretamente, como sabonetes fortes ou detergentes. Já a alérgica ocorre quando o sistema imunológico reage a um alérgeno, mesmo em pequenas quantidades, após uma exposição prévia. O diagnóstico preciso é fundamental para o manejo eficaz.
| Aspecto | Dermatite Irritativa | Dermatite Alérgica |
|---|---|---|
| Causa Principal | Contato direto com substâncias agressivas (ácidas/alcalinas). | Reação do sistema imunológico a um alérgeno específico. |
| Início dos Sintomas | Geralmente rápido, após exposição à substância. | Pode demorar horas ou dias após a exposição. |
| Gravidade da Exposição | Depende da concentração e tempo de contato. | Pode ocorrer com quantidades mínimas do alérgeno. |
| Exemplos Comuns | Detergentes, solventes, ácidos, álcalis. | Níquel, fragrâncias, conservantes, látex. |
| Teste de Identificação | Histórico e teste de provocação (raro). | Patch Test (Teste de Contato) é essencial. |

Vantagens, Desvantagens e Impacto Real da Dermatite de Contato
- Vantagem: A identificação correta da causa permite a eliminação do gatilho, levando à melhora significativa.
- Desvantagem: Pode ser crônica se o contato com o agente causador não for evitado, impactando a qualidade de vida.
- Impacto Real: Causa desconforto, coceira intensa, vermelhidão e, em casos severos, pode levar a infecções secundárias.
- O Erro Comum: Muitas pessoas não associam a erupção cutânea ao contato recente com um produto ou material, atrasando o diagnóstico e tratamento.
- Prevenção Eficaz: Conhecer os próprios gatilhos e evitá-los é a estratégia mais poderosa.

Tipos de Dermatite de Contato
A dermatite de contato se divide em duas categorias principais baseadas no mecanismo de ação.
- Composição/Material: Mecanismos irritativos ou alérgicos.
- Indicação de Uso: Aplica-se a qualquer exposição da pele a substâncias potencialmente nocivas.
- Diferencial: A distinção é crucial para o tratamento correto; a irritativa foca em proteger a barreira cutânea, a alérgica em identificar e evitar o alérgeno.

Principais Sintomas da Dermatite de Contato
Os sinais visíveis e sensações na pele variam dependendo da gravidade e do tipo de dermatite.
- Composição/Material: Vermelhidão (eritema), inchaço (edema), bolhas, descamação, coceira (prurido) e sensação de ardência.
- Indicação de Uso: Aparecem na área de contato com o agente causador.
- Diferencial: A intensidade e a presença de bolhas podem ser mais marcantes na dermatite irritativa aguda.

Diagnóstico da Dermatite de Contato
Identificar a causa exata é o primeiro passo para o alívio e a prevenção.
- Composição/Material: Avaliação clínica detalhada, histórico de exposição a produtos e, em casos de suspeita de alergia, o Patch Test.
- Indicação de Uso: Essencial para diferenciar entre dermatite irritativa e alérgica, e para identificar alérgenos específicos.
- Diferencial: O histórico detalhado ajuda a correlacionar os sintomas com exposições recentes a cosméticos, joias, plantas, etc.

Tratamento Tópico para Dermatite
O tratamento tópico visa controlar a inflamação e aliviar os sintomas diretamente na pele afetada.
- Composição/Material: Cremes e pomadas com corticosteroides para reduzir a inflamação e a coceira. Emolientes e hidratantes para restaurar a barreira cutânea.
- Indicação de Uso: Aplicados diretamente sobre a área afetada, conforme orientação médica.
- Diferencial: A escolha do corticosteroide e sua potência dependem da área e da gravidade da lesão.

Medicamentos Orais para Dermatite
Em casos mais extensos ou graves, o tratamento sistêmico pode ser necessário.
- Composição/Material: Antihistamínicos orais para controlar a coceira. Corticosteroides orais em cursos curtos para inflamação severa.
- Indicação de Uso: Prescritos por um médico para controle de sintomas sistêmicos ou reações mais intensas.
- Diferencial: O uso de corticosteroides orais requer acompanhamento rigoroso devido aos potenciais efeitos colaterais.

Prevenção da Dermatite de Contato
Evitar o contato com substâncias irritantes ou alergênicas é a chave para prevenir novas crises.
- Composição/Material: Uso de luvas de proteção ao manusear produtos químicos. Escolha de cosméticos e produtos de higiene com fórmulas hipoalergênicas e sem fragrâncias.
- Indicação de Uso: Rotina diária de cuidados com a pele, especialmente para pessoas com histórico de sensibilidade. A Clinica Croce orienta sobre a importância de evitar água e sabão em excesso.
- Diferencial: A leitura atenta de rótulos de produtos é um hábito preventivo poderoso.

Diferenças entre Dermatite Irritativa e Alérgica
Compreender as distinções é vital para o diagnóstico e manejo adequados.
- Composição/Material: A irritativa é uma resposta direta ao dano causado por uma substância (ex: detergentes). A alérgica é uma resposta imune mediada por anticorpos após sensibilização prévia a um alérgeno (ex: níquel em joias).
- Indicação de Uso: A irritativa pode afetar qualquer pessoa com exposição suficiente. A alérgica afeta apenas indivíduos sensibilizados.
- Diferencial: A dermatite alérgica, como parte do grupo dos eczemas, é uma alergia de contato (Pfizer Brasil), enquanto a irritativa não envolve o sistema imunológico da mesma forma.

O que é o Patch Test?
O Patch Test é o exame padrão ouro para identificar alérgenos específicos na dermatite de contato alérgica.
- Composição/Material: Pequenas quantidades de substâncias suspeitas são aplicadas em adesivos (patches) e fixadas nas costas do paciente por 48 horas. A leitura é feita em intervalos específicos para avaliar a reatividade da pele.
- Indicação de Uso: Utilizado quando há suspeita de dermatite de contato alérgica e o agente causador não é óbvio.
- Diferencial: Permite identificar com precisão alérgenos que podem estar ocultos em produtos do dia a dia, como cosméticos, metais ou conservantes. Informações detalhadas sobre o procedimento podem ser encontradas em fontes como a Alta Diagnósticos.
Preço Médio e Vale a Pena?
O custo associado à dermatite de contato varia significativamente. Consultas médicas e dermatológicas podem custar entre R$ 200 e R$ 500, dependendo do profissional e da clínica. O Patch Test, um exame crucial para identificar alérgenos, geralmente custa entre R$ 400 e R$ 1000. Medicamentos tópicos (corticoides, hidratantes) podem variar de R$ 30 a R$ 150 por item. Tratamentos orais, como antihistamínicos ou corticosteroides, têm custos similares. Considerando o impacto na qualidade de vida, a dor, o desconforto e o potencial de complicações, investir em diagnóstico e tratamento adequados é fundamental. A prevenção, através da identificação e eliminação dos gatilhos, é a estratégia mais econômica a longo prazo. Portanto, sim, vale muito a pena investir na saúde da sua pele para evitar custos maiores e sofrimento desnecessário.
Dicas Extras
- Atenção aos Detalhes: Fique de olho nos rótulos de cosméticos e produtos de limpeza. Ingredientes como fragrâncias, conservantes e corantes são vilões comuns.
- Hidratação é Chave: Manter a pele bem hidratada fortalece a barreira cutânea, tornando-a menos suscetível a irritações. Use hidratantes sem perfume e hipoalergênicos.
- Roupas e Tecidos: Prefira tecidos naturais como algodão. Lã e fibras sintéticas podem causar atrito e irritação em peles sensíveis. Lave roupas novas antes de usar.
- Ambientes de Trabalho: Se você lida com substâncias irritantes no trabalho, use Equipamentos de Proteção Individual (EPIs) adequados, como luvas e mangas.
Dúvidas Frequentes
O que causa dermatite de contato?
A dermatite de contato é causada pelo contato direto da pele com uma substância que provoca irritação ou alergia. Pode ser algo que você usa diariamente, como um sabonete, cosmético ou até mesmo uma joia. O Hospital Einstein explica que substâncias ácidas ou alcalinas, como detergentes, são causas comuns da forma irritativa.
Quais são os sintomas de dermatite irritativa?
Os sintomas da dermatite irritativa geralmente aparecem logo após o contato com o agente agressor. Você pode notar vermelhidão, coceira, inchaço e, em alguns casos, pequenas bolhas ou descamação na área afetada. A pele fica sensível e pode arder.
Como identificar alergia de pele?
Identificar uma alergia de pele exige atenção aos sinais e, muitas vezes, a ajuda de um profissional. O Patch Test (Teste de Contato) é um exame crucial para diagnosticar a dermatite de contato alérgica, pois ele ajuda a descobrir exatamente qual substância desencadeou a reação. A Alta Diagnósticos oferece informações detalhadas sobre esse processo.
Conclusão
Entender a dermatite de contato é o primeiro passo para uma pele mais saudável. Prestar atenção aos gatilhos diários e adotar uma rotina de cuidados pode fazer toda a diferença. Lembre-se que a diferença entre dermatite de contato irritativa e alérgica é fundamental para o tratamento correto. Se os sintomas persistirem, procure um dermatologista. Vamos combinar, cuidar da pele é um ato de carinho consigo mesmo.

