A gengivite já te pegou de surpresa com aquele desconforto e sangramento que parecem do nada? Você não está sozinho. Essa inflamação na gengiva, muitas vezes ignorada, é um sinal de alerta que não pode ficar escondido. Pode confessar, a gente costuma deixar pra lá, né? Mas a verdade é que ignorar a gengivite é abrir a porta para problemas bem maiores na sua boca.
Neste guia completo de 2026, vamos desmistificar a gengivite, revelar os sinais que passam despercebidos e te mostrar o caminho para um sorriso saudável e livre dessa chateação. Prepare-se para virar o jogo contra essa inflamação!
O Que Realmente Acontece Quando a Gengiva Inflama: Entendendo a Gengivite
A gengivite, meu amigo, é basicamente a sua gengiva pedindo socorro. Ela surge como uma resposta inflamatória direta ao acúmulo de placa bacteriana, aquela meleca pegajosa que não sai com a escovação básica.
Pode parecer só um incômodo, mas essa inflamação inicial é o primeiro passo para algo mais sério se você não cuidar. Ignorar esses sinais é dar um ‘cheque em branco’ para a doença periodontal avançar.
“A gengivite é uma inflamação da gengiva, geralmente causada pelo acúmulo de placa bacteriana nos dentes. É a fase inicial da doença periodontal e, se não tratada, pode evoluir para problemas mais graves, como a perda óssea e dos dentes.”
Gengivite: O Que É e Por Que Você Precisa Saber Disso Agora

Vamos combinar, ninguém gosta de falar de problemas de saúde, né? Mas e quando o assunto é a saúde da sua boca? A gengivite, por exemplo, pode parecer um detalhe, mas a verdade é que ela é o primeiro sinal de alerta para algo muito maior.
Pode confessar, muita gente ignora o sangramento na escova ou aquele inchaço discreto na gengiva. Acontece que essa inflamação, a gengivite, é a fase inicial de uma doença periodontal que, se não cuidada, pode trazer dores de cabeça (e de dentes!) bem maiores no futuro. A boa notícia? Ela é totalmente reversível!

| Característica | Detalhe |
|---|---|
| O que é? | Inflamação da gengiva, estágio inicial da doença periodontal. |
| Causa principal? | Acúmulo de placa bacteriana e tártaro por má higiene bucal. |
| Sintomas comuns? | Sangramento, gengiva avermelhada/arroxeada, inchaço, sensibilidade, mau hálito. |
| É reversível? | Sim, com tratamento e higiene adequados. |
| Prevenção? | Higiene bucal rigorosa, limpeza profissional, troca de escova. |
O que é Gengivite?
Olha só, a gengivite é basicamente uma inflamação na gengiva. Pense nela como um aviso do seu corpo de que algo não vai bem ali. Ela surge quando bactérias presentes na boca, que formam a placa bacteriana, se acumulam nos dentes, especialmente na linha da gengiva. Se essa placa não for removida com a escovação e o fio dental, ela pode endurecer e virar tártaro, um inimigo ainda mais difícil de combater.
É fundamental entender que a gengivite é a fase inicial da doença periodontal. Isso significa que ela ainda não afetou os tecidos que sustentam os dentes. A boa notícia é que, nessa fase, o problema tem solução com cuidados simples e atenção. Mas não se engane, ignorar esses sinais pode levar a problemas mais sérios e irreversíveis.

Principais Sintomas da Gengivite
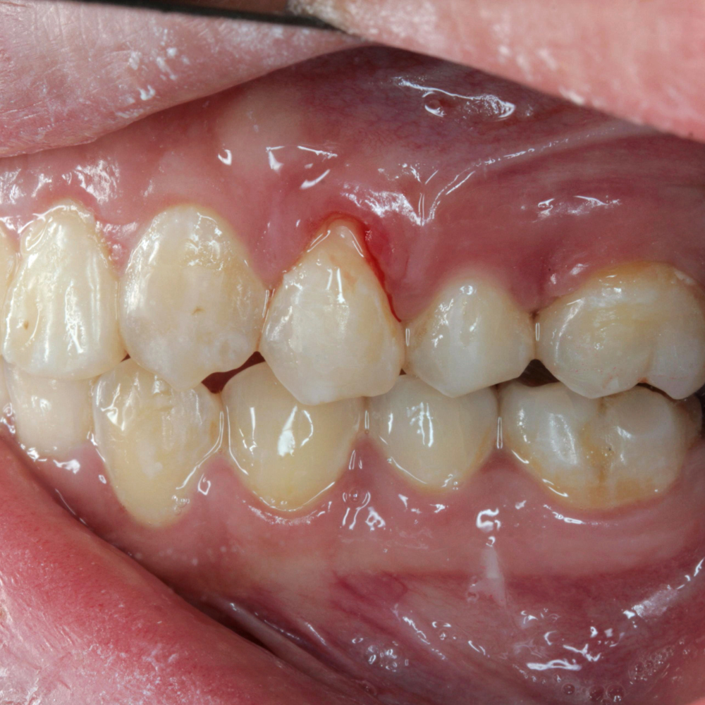
A verdade é que a gengivite gosta de dar uns sinais, mas a gente nem sempre percebe ou dá a devida importância. Fique atento a estes:
- Sangramento Gengival: Esse é o clássico. Acontece ao escovar os dentes, usar fio dental ou até mesmo espontaneamente. Se sua gengiva sangra com facilidade, ligue o alerta!
- Alteração na Cor: Uma gengiva saudável tem um tom rosado. Na gengivite, ela fica mais avermelhada ou até arroxeada, indicando inflamação e maior fluxo sanguíneo.
- Inchaço: A gengiva pode parecer mais ‘gordinha’ ou inchada do que o normal, perdendo aquele contorno delicado.
- Sensibilidade: Você pode sentir um desconforto ou dor ao tocar na gengiva, ou até mesmo com alimentos muito quentes ou frios.
- Mau Hálito Persistente: Aquele hálito que não some nem com bala de menta pode ser um sintoma de gengivite, causado pelas bactérias acumuladas.
Causas Comuns da Inflamação na Gengiva
Vamos ser diretos: a principal vilã aqui é a má higiene bucal. Quando a gente não escova direito e não usa o fio dental, a placa bacteriana vira festa na boca. Mas não é só isso, viu?

Fatores como o fumo, que prejudica a circulação e a resposta inflamatória, e alterações hormonais (gravidez, puberdade, TPM) podem deixar a gengiva mais suscetível. A formação de tártaro, que é a placa bacteriana endurecida, também contribui demais para o quadro. E, claro, algumas condições médicas e medicamentos podem agravar o problema.
Como Tratar e Prevenir a Gengivite
A boa notícia é que tratar e prevenir a gengivite é mais simples do que parece. O segredo está na consistência e nos cuidados certos.

O tratamento inicial geralmente envolve uma limpeza profissional feita pelo dentista para remover a placa e o tártaro que você não consegue em casa. Depois disso, a higiene rigorosa no dia a dia é o seu melhor amigo. Isso inclui escovação correta após as refeições, uso diário do fio dental e, se o dentista recomendar, o uso de enxaguantes bucais específicos. E não se esqueça de trocar sua escova de dentes a cada 3 ou 4 meses, ou sempre que as cerdas estiverem abertas.
A Gengivite tem Cura?
Especialistas afirmam categoricamente: sim, a gengivite tem cura! Sendo a fase inicial da doença periodontal, ela é totalmente reversível se tratada a tempo e com os cuidados adequados. O segredo é não negligenciar os sintomas e buscar ajuda profissional.
Quando falamos em ‘cura’, estamos nos referindo a trazer a gengiva de volta ao seu estado saudável, sem inflamação, sangramento ou inchaço. Isso é totalmente possível com uma boa limpeza profissional e a manutenção de uma rotina de higiene bucal impecável. O importante é reverter o quadro antes que ele evolua para a periodontite.

Diferença entre Gengivite e Periodontite
Essa é uma dúvida comum e crucial. A gengivite, como já vimos, é a inflamação da gengiva, sem perda óssea ou danos aos tecidos de suporte do dente. Ela é reversível.
Já a periodontite é o estágio seguinte e mais grave. Aqui, a inflamação já atingiu as estruturas que sustentam o dente, como o osso e o ligamento periodontal. Na periodontite, há perda óssea, a gengiva pode se retrair, formando ‘bolsas’ entre o dente e a gengiva, e o dente pode até ficar mole e cair. A periodontite, infelizmente, não tem cura no sentido de reversão total, mas pode ser controlada com tratamento especializado para evitar a progressão.

Importância da Higiene Bucal na Prevenção
Se você quer fugir da gengivite e de problemas maiores, a higiene bucal é o pilar principal. Não tem como fugir disso. Escovar os dentes corretamente, pelo menos duas vezes ao dia, e usar o fio dental diariamente são as armas mais poderosas contra o acúmulo de placa bacteriana.
Lembre-se que a escovação sozinha não alcança todos os cantinhos. O fio dental remove os restos de comida e a placa que ficam entre os dentes e abaixo da linha da gengiva, locais onde a escova não chega. Uma higiene bucal completa é a sua primeira linha de defesa contra a gengivite.

Quando Procurar um Dentista para Gengivite?
Não espere a dor chegar! Se você notar qualquer um dos sinais de gengivite que listamos – sangramento ao escovar, gengiva vermelha ou inchada, mau hálito persistente – é hora de marcar uma consulta. Quanto antes você procurar um profissional, mais fácil e rápido será o tratamento.
Além disso, mesmo sem sintomas, as consultas de rotina, geralmente a cada seis meses, são essenciais para uma limpeza profissional e para que o dentista possa identificar qualquer problema em estágio inicial, antes que você perceba. A prevenção é sempre o melhor caminho!

Gengivite: O Veridito do Especialista
Olha, a gengivite não é um bicho de sete cabeças, mas também não é algo para se ignorar. Ela é um sinal claro de que sua rotina de higiene bucal precisa de um ajuste ou que é hora de uma visita ao dentista. O tratamento é acessível e, o mais importante, ela é 100% reversível.
Ignorar a gengivite é como deixar uma pequena rachadura em uma parede crescer. Pode parecer inofensivo no começo, mas pode comprometer toda a estrutura. Invista na sua saúde bucal, faça acompanhamento regular com seu dentista e mantenha uma higiene impecável. Sua boca (e seu bolso) agradecerão no futuro!

Este conteúdo é informativo, consulte um especialista.
Dicas Extras para Vencer a Gengivite
- Capriche na Higiene: Escove os dentes pelo menos duas vezes ao dia, usando fio dental diariamente. Não tem segredo, a placa bacteriana é a vilã aqui.
- Troque a Escova: A cada 3 meses, ou antes se as cerdas estiverem abertas. Uma escova velha não limpa direito e pode até machucar sua gengiva.
- Cuidado com o Fumo: Se você fuma, saiba que isso piora muito a gengivite e dificulta a cicatrização. Pensar em parar é um passo gigante para a saúde da sua boca.
- Hidratação é Chave: Beber bastante água ajuda a limpar a boca e a manter a saliva fluindo, protegendo contra bactérias.
Dúvidas Frequentes sobre Gengivite
A gengivite tem cura?
Sim! A gengivite, quando identificada no início, é totalmente reversível com o tratamento adequado e uma rotina de higiene bucal caprichada. O importante é não deixar a inflamação avançar.
Gengiva inflamada o que fazer?
O primeiro passo é redobrar a higiene bucal, com escovação suave e uso diário do fio dental. Consultar um dentista é fundamental para um diagnóstico correto e um plano de tratamento, que pode incluir limpeza profissional.
Enxaguante bucal funciona contra gengivite?
Alguns enxaguantes com propriedades antissépticas podem ajudar como coadjuvantes no tratamento, mas eles não substituem a escovação e o fio dental. O dentista poderá indicar o mais adequado para o seu caso.
O que causa gengivite na boca?
A causa mais comum é o acúmulo de placa bacteriana, que se forma pela má higiene bucal e pode levar à formação de tártaro. Fatores como fumo, alterações hormonais e certas condições de saúde também contribuem.
Não Deixe a Gengivite Virar Problema
Olha só, a gengivite é um sinal de alerta que sua boca está dando. Ignorar os sintomas, como a gengiva inflamada o que fazer, pode levar a problemas mais sérios como a periodontite. Mas a boa notícia é que, com atenção à higiene bucal e visitas regulares ao dentista, você pode reverter o quadro e manter seu sorriso saudável. Fique atento aos sinais e cuide bem da sua gengiva!

